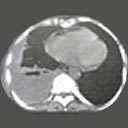
Derrame Pleural

Derrame pleural é a presença de líquido (plasma, sangue ou líquido tumoral) na cavidade pleural (espaço entre o pulmão e a parede torácica). Pode ser decorrente de várias doenças, como: um câncer de pulmão ou da própria pleura, após uma pneumonia ou doenças do abdome, ou devido à metástase de um tumor de outra região, entre outras. Esse derrame, quando é puncionado e volta a aparecer após alguns dias, é chamado derrame pleural recidivante. Quando é encontrado a presença de líquido tumoral (com tumor) é chamado de derrame pleural neoplástico.

O Dr. Malucelli possui longa experiência na medicina do tórax no Brasil e já realizou centenas de cirurgias em adultos e crianças.

Qual o problema de se ter um derrame pleural?

A presença de líquido nesse espaço irá fazer com que o pulmão não consiga obter a expansão total. Portanto, a pessoa sentirá intensa falta de ar e o pulmão ficará atelectasiado (murcho), podendo causar morte ou ser fonte de infecções pulmonares de repetição.

Nunca poderemos afirmar que um derrame é tumoral somente porque a pessoa apresenta, por exemplo, um tumor no pulmão. A única maneira de podermos afirmar que o derrame é neoplásico/tumoral é se for realizada uma punção torácica. Eventualmente, haverá a indicação de se realizar uma biópsia com agulha, chamada biópsia da pleura.

Diagnóstico

Inicialmente deve ser feita uma história clínica, acompanhada de uma avaliação do Cirurgião do Tórax, que irá fazer uma punção do líquido (toracocentese) e biópsias da pleura.

Se for confirmado o diagnóstico de derrame pleural neoplásico, o tratamento definitivo é a pleurodese, que pode ser feita por meio de cirurgia convencional, vídeo-cirurgia ou com o uso do pleuroscópio. Por meio desses procedimentos o derrame estará definitivamente tratado. Dessa maneira a pessoa não mais sentirá falta de ar, o pulmão se manterá expandido e o derrame não irá recidivar (ressurgir). Esse procedimento poderá prolongar ou salvar a vida de uma pessoa.

O maior erro que pode ocorrer em quem apresenta um derrame com suspeita de ser neoplásico / tumoral, é não confirmar essa suspeita (usando toracocentese e/ou biópsia pleural). Se não tivermos a confirmação, poderemos estar condenando uma pessoa a um tratamento inadequado e baseado em uma suposição.

Tratamentos

Dependendo do diagnóstico desse derrame pleural, será instituído o tratamento definitivo com drenagem do tórax, ou pleurodese, realizada por meio de cirurgia convencional, vídeo-cirurgia  ou com o uso do pleuroscópio. Por meio desses procedimentos o derrame estará definitivamente tratado. Dessa maneira a pessoa não mais sentirá falta de ar, o pulmão se manterá expandido e o derrame não irá recidivar (ressurgir). Esse procedimento poderá prolongar ou salvar a vida de uma pessoa.